
Həkimdən ÇAĞIRIŞ: "Lazımsız dərmanlar qəbul edib özünüzü ağırlaşdırmayın, qorxmayın..."
"Covid-19-a yoluxma halları çox artıb, əksər insanlar panikadadır. Qorxmayın! Qorxu, panika, stress immun sistemini çox zəiflədir!"
Milli.Az e-tibb.az-a istinadən bildirir ki, bunu radioloq, ATU-nun Tədris Terapevtik Klinikasının Şüa diaqnostikası şöbəsinin müdiri Aydın Əliyev açıqlayıb.
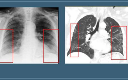
Həkim vurğulayıb ki, insanların 80-90%-ə qədəri bu xəstəliyi yüngül keçirir. Onun sözlərinə görə, temperatur 38,5-dən azdırsa, ciddi halsızlıq, boğulma, təngnəfəslik yoxdursa, KT müayinəsində ağciyərlərdə buzlu şüşə mənzərəsi 15%-dən azdırsa antibiotiklər, deksametazon qəbul etməyin, sistemlər qoşdurmayın! Bu dərmanlar orqanizmi zəiflədir. Nə qədər xəstələr bunları lazım olmadığı halda edib özlərini ağırlaşdırıblar. Baş ağrısı, boğaz qıcıqlanması, əzələ ağrıları, burun qıcıqlanması, hərarətin 38,5-ə qədər yüksəlməsi, yüngül halsızlıq, iybilmə və dadbilmə hisslərinin pozulması, yüngül öskürək xəstəliyin yüngül əlamətləridir qorxmayın. Bu yüngül əlamətlər olduqda əgər şəkərli diabet, hipertoniya, orqan transplantasiyası və yanaşı ağır xəstəliyiniz yoxdursa limon, çoxlu zoğal, moruq mürəbbəli çay, soğan-sarımsaq və indi günəş az olduğu üçün profilaktik dozada D vitamini qəbul edə bilərsiz. Yox, əgər hərarət 38,5-dən çoxdursa, boğulma, təngnəfəslik, KT müayinəsində buzlu şüşə 20% və daha çoxdursa, şəkərli diabet və ya yanaşı ağır xəstəliyiniz varsa, özbaşına müalicələr etməyin, ya təcili yardıma zəng edin, ya da covidlə məşğul olan həkimlə məsləhətləşin".
A.Əliyev hər kəsi tibbi maska geyinək, ara məsafə saxlamağa, əl ilə görüşməməyə, öpüşməməyə, qucaqlaşmamağa, əl gigiyenasına riayət etməyə çağırıb.
Milli.Az
Son xəbərlər
Ən çox oxunanlar
- Bu gün
- Bu həftə
- Bu ay











